无障碍链接

中国时间 18:08 2025年10月28日 星期二

VOA英语视频: 科学家发现阻止癌细胞扩散的奥秘


VOA英语视频: 科学家发现阻止癌细胞扩散的奥秘
请稍等

没有媒体可用资源

0:00 0:02:43 0:00

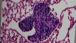
Cancer remains one of the deadliest diseases, despite many new methods to combat it. Modern medicine has treatments to prevent the growth of primary tumor cells. But most cancer deaths are caused by metastasis, the stage when primary tumor cells change and move to other parts of the body.

XS
SM
MD
LG